Place order through your dealer
Place order through your dealer
Traxodent®
Hemostatic Retraction Paste System
The #1 Choice for hemostasis & retraction
Only Traxodent® delivers…
Award-winning Traxodent® is the #1 choice1 among dental professionals because it works fast, helps capture accurate impressions and rinses easily.
And since Traxodent doesn’t irritate or discolor surrounding tissue, patients leave happier too.
1. SDM Northcoast, North America 2024

9007094 Traxodent Unit Dose Pack
Contains
24 – capsules

9007089 Traxodent Unit Dose Syringe Dispensers
Contains
3 – unit dose syringe dispensers

9007091 Traxodent Value Pack
Contains
25 – syringes
50 – tips

9007093 Traxodent Starter Pack
Contains
7 – syringes
15 – tips

9007092 – Applicator Tips
Contains
50 – applicator tips

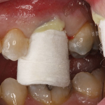
Enhance Retraction with Premier Retraction Caps.
Ideal for Digital Impressioning
After preparing the tooth, applying Traxodent, placing a retraction cap, and waiting 2-3 minutes -the prep was rinsed, dried and digital impressions were scanned. The scans were then sent to the dental laboratory for creation of the definitive crown.
Photos courtesy of Jason Goodchild, DMD
Crown & Bridge with Retraction Cap
Using a retraction cap with Traxodent for crown and bridge procedures simplifies moving the paste into the sulcus and provides an atraumatic method for greater retraction. The pressure from the cap quickens and assists hemostasis while the absorbent cotton cap soaks up the fluid in the sulcus. Additionally, the cap quickly brings Traxodent into close contact with the hemorrhaging tissue, which allows the astringent properties to work faster.
Photos courtesy of Dean Elledge, DDS, MS UMKC School of Dentistry
Crown & Bridge with Retraction Cord
Traxodent is ideal to replace the second cord in the double cord technique. This technique saves time and lessens the discomfort to the patient while providing greater retraction. Traxodent easily rinses away, eliminating the occurrence of break-through bleeding when removing the second cord.
Photos courtesy of Dean Elledge, DDS, MS
Loose Tissue
For difficult tissue that will not stay retracted, Traxodent can be used with retraction cord and cap.
Photos courtesy of William Crinzy, DDS MS UMKC School of Dentistry
CAD-CAM & Laser Assist Gingival Tissue Procedures
Traxodent is suitable to displace the gingiva before a CAD-CAM scan to get a crisp image without the soft tissue obscuring the view of the margin. Dentists who use lasers for retraction can benefit from Traxodent as it provides excellent post-op hemostasis after laser troughing.
Photos courtesy of Dr. Curtis E. Jansen, DDS
Routine Hemostasis
Traxodent offers a convenient and effective way to stop and control blood and crevicular seepage for all routine hemostasis procedures. The bendable tips can be positioned for areas that are difficult to reach. It is easy to dispense at the site of bleeding and will stay put, giving the astringent properties of the aluminum chloride a chance to stop the bleeding while providing temporary shrinkage of tissue without additional tissue trauma. The absorbent clay base has an affinity towards oral fluids and blood. It will draw in fluids and easily washes away leaving a clean field behind.
Photos courtesy of Richard H. Nagelberg, DDS, PC
Videos
Literature
Articles
Peer to Peer, Product Review Update
Dental Product Shopper, 2023
No More Retraction Cord!
Dental Product Shopper, 2021
Jason Goodchild, DMD
Restorative Materials and Accessories – Traxodent
ADA Dental Product Guide, 2019
Dental Product Shopper

















































