VeneerNow™
Injectable Matrix System
Simplify your anterior composite restorations!
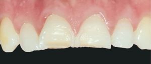
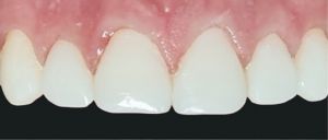
Elevate your dental practice and improve your workflows with the VeneerNow™ Injectable Matrix System – your solution for quickly creating chair-side attractive, natural-looking composite veneers and anterior restorations. Designed for ease of use, it enables composite injection with minimal clean-up.
VeneerNow also works with packable composite, offering versatility. This essential addition to your operatory toolkit makes anterior restorations fast with predictable results.


VeneerNow™
Fast, Predictable Results!

Full anatomical design
Replicates natural tooth shape for superior results

Natural cervical line
For a precise anatomical emergence profile

Injection stalk for flowable composite
Provides easy injection for optimal placement

Side wings
Enhance stability & minimize interproximal clean-up

Versatile
Use with flowable or packable composite

Closed system matrix
Provides a void-free smooth composite layer for easier finishing and polishing

Full anatomical design
Replicates natural tooth shape for superior results

Natural cervical line
For a precise anatomical emergence profile

Injection stalk for flowable composite
Provides easy injection for optimal placement

Side wings
Enhance stability & minimize interproximal clean-up

Versatile
Use with flowable or packable composite

Closed system matrix
Provides a void-free smooth composite layer for easier finishing and polishing
VeneerNow™ – Injectable Matrix System Kits
9069237 Starter Kit
Contains:
4 each, teeth 5 through 12 in SM size (32 total)
2 each, teeth 5 through 12 in ML size (16 total)

9069244 Mini Kit
Contains:
2 each, teeth 7 through 10 SM size (8 total)
1 each, teeth 7 through 10 in ML size (4 total)

VeneerNow™ – Injectable Matrix System Refills
Refills
Contains:
6 each of a specific type/size tooth.
SM (Small/Medium) Refill available in teeth 5-12
ML (Medium/Large) Refill available in teeth 5-12
SM (Small/Medium)
9069268 Tooth 5
9069275 Tooth 6
9069282 Tooth 7
9069299 Tooth 8
9069305 Tooth 9
9069312 Tooth 10
9069329 Tooth 11
9069336 Tooth 12
ML (Medium/Large)
9069343 Tooth 5
9069350 Tooth 6
9069367 Tooth 7
9069374 Tooth 8
9069381 Tooth 9
9069398 Tooth 10
9069404 Tooth 11
9069411 Tooth 12
Videos
VeneerNow™ – Peg Laterals
VeneerNow™ – Composite Veneers
VeneerNow™ – Mockup Semi Direct
VeneerNow™ – Semi Direct Using Packable Composite
VeneerNow™ – Fractured Incisor
VeneerNow™ – Diastema After VeneerNow™
VeneerNow™ – Diastema Natural
VeneerNow™ – Composite Crown
VeneerNow™ – Misalignment
VeneerNow™ – Rampant Caries
VeneerNow™ – Class V
VeneerNow™ – Workflow


























